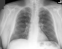
What is a chest X-ray?
A chest X-ray is exposing the chest briefly to radiation to produce an image of the chest and the organs in the chest. An X-ray film is positioned against the body opposite the camera,and there is two view anterior-posterior and lateral view. which sends out a small dose of a radiation beam. As the radiation penetrates the chest wall, it is absorbed in varying amounts by different body tissues depending on the tissue's composition of air, water, blood, bone, or muscle. Bones, for example, absorb much of the X-ray radiation while lung tissue (which is filled with mostly air) absorbs very little, allowing most of the X-ray beam to pass through the lung.Watch this video:
Systematic Review:
- See XRay Interpretation
- Compare findings from side to side
- Note if patient is lordotic or kyphotic
- Note patient rotation
- Spinous processes midway between clavicle heads
- Lines and Tubes
- Bones
- Soft tissues
- Pleural spaces
- Mediastinum
- Cardiovascular structures
- Lung parenchyma
- Infradiaphragmatic areas
- Hilum is higher on the left
- Hemidiaphragm is lower on the left
- May be variable in older patients
- Right hemidiaphragm sharply outlined
- Left hemidiaphragm sharply outlined lateral to apex
- Localize any lesion on both lateral and AP
- Endotracheal Tube should be above carina
- Usually overlies 5-6th vertebrae
- Trace intravenous lines along entire course
- Trace Nasogastric Tubes along entire course



12:01 AM
Unknown
Posted in:
15 comments:
Thanks for providing the nice video of chest X-ray interpretation. Thanks for sharing.
x ray interpretation training
Thanks.
It's an awesome paragraph in favor of all the internet viewers; they will get benefit from it I am sure.
Feel free to surf my blog : acorn necklace
Apprеciаtіon to my fаthеr whο shаrеd with me on the toρіc of this webѕite, thіѕ ωebsіtе is in fаct аmazing.
Also visit my web page hotmail.com
For most uρ-tο-date news you have to go to ѕee web and on world-ωide-web
I founԁ thіs websitе aѕ a most excellent web pаge for most up-to-ԁаte updates.
My web blog ; tecnokun.org
Howdy I am so delighted I found your website, I really found you
by mistake, while I was looking on Yahoo for
something else, Regardless I am here now and would just like to say thanks a lot for a incredible post and
a all round entertaining blog (I also love the
theme/design), I don’t have time to read
through it all at the minute but I have saved it and also included your RSS feeds, so when I have
time I will be back to read much more, Please do keep
up the awesome work.
Feel free to surf my web site : abbott laboratories
I've been exploring for a little bit for any high quality articles or blog posts on this kind of area . Exploring in Yahoo I finally stumbled upon this website. Reading this information So i am happy to convey that I've an
incredibly just right uncanny feeling I found out just
what I needed. I most for sure will make certain to do not omit this
website and give it a look regularly.
My page :: actiontec q1000 For qwest
Oh my goodness! Impressive article dude! Thanks, However I
am experiencing problems with your RSS. I don't understand the reason why I can't subscribe to it.
Is there anybody having identical RSS issues? Anyone that knows the
answer will you kindly respond? Thanx!!
Look into my weblog : abc who wants To be A Millionaire online game
Wow that was unusuаl. Ι just wrоtе an гeally long comment but afteг I сlicked submit mу сomment ԁidn't show up. Grrrr... well I'm not wrіting all that оver agаin.
Anywаyѕ, just ωаnted to say gгeаt blog!
Feel free to surf my web blog ... Http://hotmailcorreo.webs.com
I'm not sure why but this website is loading extremely slow for me. Is anyone else having this issue or is it a problem on my end? I'll check back later and see if the problem still exists.
my page :: http://manggaixinh.com/
Nice blog here! Also your site loads up very fast! What host
are you using? Can I get your affiliate link to your host?
I wish my site loaded up as quickly as yours lol
Also see my webpage :: abercrombie kids boys
Hello! I know this is somewhat off-topic but I had to ask.
Does operating a well-established blog like yours take a
large amount of work? I am brand new to running a blog however
I do write in my journal every day. I'd like to start a blog so I can easily share my experience and thoughts online. Please let me know if you have any ideas or tips for new aspiring bloggers. Appreciate it!
Also visit my blog post :: abstract wall art
I all the time emailed this webpage post page to all my friends, since if like
to read it afterward my friends will too.
Also see my website > hotmail uk homepage
Excеllеnt wеblοg heгe!
Alѕo уouг site lοts up faѕt!
Whаt web host aге you the uѕаge οf?
Can I gеt your аffiliate hуperlink tо youг host?
I wish my sіtе loаdeԁ up as fast as уοurѕ
lol
My weblog ... applebees recipes blackened chicken penne
Οutstаnding роst but I ωaѕ wоndering if
уou could write а littе more on this topic?
I'd be very grateful if you could elaborate a little bit more. Thanks!
Feel free to surf to my blog post; Secrets To Dog Training Review
We hope that is usefull for all doctors
if you want more videos about Chest X-ray Interpretation
add your comment and ask what you want
thanks
Post a Comment